突如其来的疫情,让AI走到了疫情防控的前线。作为医疗同行者,联影智能积极响应、加速产品创新,迅速推出“uAI新冠肺炎医学影像智能化诊断全栈解决方案”,从成像、筛查、诊断到随访,以AI全栈助力抗“疫”。
该系统可基于患者CT图像,自动标记病灶,对新冠病毒感染病灶勾画重合率超90%,全肺感染百分比量化误差小于1%,可将5至10分钟的CT阅片时间缩短至1分钟以内。截至目前,联影智能已为全国100多家医院提供了uAI新冠肺炎智能辅助分析系统,完成数万例新冠肺炎患者的筛查与辅助诊断。该系统还驰援海外,在东南亚、欧州及非洲等多个国家启动了试用。

uAI新冠肺炎医学影像智能化诊断全栈解决方案斩获SAIL奖
此外,该解决方案中的新一代无接触自动定位扫描技术,可以真正意义地实现技师与患者零接触成像全流程,减少接触和降低交叉感染风险。该方案凭借抗疫的杰出表现,斩获世界人工智能大会(WAIC)最高荣誉——SAIL奖(卓越人工智能引领者奖),这也是今年SAIL奖中唯一一个医疗影像项目。
AI量化分析,助力筛查、诊断及随访
2019年12月,疫情拉响警报,全国各地陆续启动一级响应,医院对患者影像筛查也呈井喷式增长。
尤其是武汉放射科医生,他们甚至每天连续工作十几个小时、连续做上百个影像扫描,而确诊病人1次 CT 检查需400幅图像,这意味着放射科医生需一天至少读4万幅CT图像。另外,除了确诊检查的400幅图像外,后期病情随访评估,1位病人另外至少还有400幅CT图像,医生要用肉眼一幅幅比对前后两次800幅图像的变化。

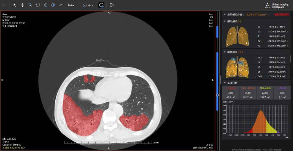
uAI新冠肺炎智能辅助分析系统
为切实减轻放射科医务工作者的工作负担,提升工作效率,进一步提供客观量化标准,uAI新冠肺炎智能辅助分析系统通过高敏感度检测与分类算法,提升病灶检出率,辅助筛查疑似病患;通过CT影像中肺、肺叶、肺段以及病灶的快速精准分割,自动标记病灶,对肺段及相关病灶进行量化评估及分析,快速生成结构化报告,助力医生制定针对化诊疗方案;并通过全自动匹配治疗前后影像检查的肺炎病灶,实现前后影像同步阅片,辅助评估病情进展与疗效。

uAI新冠肺炎智能分析系统--随访评估功能
该系统是业界领先的综合肺炎整体与局部影像特征、对肺炎影像精确分析的AI全流程解决方案,可尽早甄别疑似,助力患者分流管理;精准量化与随访,助力临床决策与科研。
AI自动定位,实现无接触扫描
在日常放射科中,技师要与患者直接近距离接触,例如帮助患者摆体位、确定扫描范围、与患者沟通流程等;在疫情期间,为防止感染,技师要穿上密不透风的防护服,经常有技师主动延长工作时间,长达十几个小时;而患者也可能因长时间等待影像检查产生交叉感染,或产生害怕、焦虑等不良情绪。
为切实保护放射科医务工作者免受交叉感染,同时保证患者影像检查能高质、高效地完成,联影智能研发了用于新一代无接触自动定位扫描技术,赋能医学影像设备,实现从病患进入扫描间到扫描结束的全部扫描成像流程端到端的自动化。
具体包括高精确度病患自动定位、全自动可视化智能摆位导引、智能扫描环境态势感知、系统自动在线标定及精确移床、实现技师对隔间病患的观测及摆位确认,搭载人工智能视觉传感器的医学影像设备可以真正意义地实现技师与患者零接触成像全流程,减少接触和降低交叉感染风险,守护一线医护人员的健康与安全,与此同时大幅提高扫描效率和扫描量,为救治患者争分夺秒。
uAI技术与CT设备“珠联璧合”,为抗疫一线提供智能精准的扫描解决方案。搭载着新一代无接触自动定位扫描技术的联影天眼CT已落地在全国500多家医院。

工信部“肺炎AI影像辅助诊断产品测评”荣誉证书

抗疫表现突出企业表彰证书
在世界人工智能大会“AI+医疗服务专题论坛:智慧医疗,共创未来”现场发布的“肺炎人工智能影像辅助诊断产品测评”结果中,联影智能新冠肺炎智能辅助分析系统通过产品功能测试、性能测试和专家评审三项测试最终在多个项目中拔得头筹,获评标杆企业;在工业和信息化部发布的《关于公布在科技支撑抗击新冠肺炎疫情中表现突出的人工智能企业名单的通知》,联影智能凭借在抗“疫”期间的优秀表现上榜。


0310-3111082
3047798688@qq.com
a>


